アライグマ回虫による幼虫移行症
更新作業中のため、ページの一部に古い情報が含まれる場合があります。
(IDWR2002年第42号掲載)
北米原産のアライグマに普通に見られるアライグマ回虫(Baylisascaris procyoni)は基本的にアライグマ以外の動物で成虫になることはないが、ヒトがその虫卵を経口摂取すると幼虫移行症を引き起こし、致死的な中枢神経障害の原因となる。わが国にも北米から移入されたアライグマが多数生息するため、それらからヒトへの感染を防ぐ注意が必要となっている。
疫学
米国においては1981年の初発例以来、アライグマ回虫の感染を原因とする重症脳障害患者が少なくとも12例確認され、そのうち10例は6歳以下の小児で、3名が死亡している。わが国では、人への感染事例は、現在まで報告されていない。しかしながら、動物園および観光施設で飼育されているアライグマには本虫の寄生が見つかっており、最近、東日本の観光施設のウサギ群にアライグマ回虫による脳幼虫移行症が発生していたことが明らかになった。わが国では1977年のアライグマを主人公としたテレビアニメーション放映によるブーム以来、多い年には年間1,500頭を数えるアライグマが輸入されてきた。

図1.わが国におけるアライグマの野外分布状況
その結果、諸施設や一般家庭で飼育されたアライグマは現在までに総計2万頭を越えると推計され、その一部が飼育しきれずに逃亡や遺棄されたため、野外で定着・繁殖している現状がある。これらの「野生アライグマ」は、全国の47都道府県のうち32都道府県で確認されている(図1)。我々の調査では現在のところ(2002年10月現在)、これらの「野生アライグマ」からはアライグマ回虫の寄生例は確認されていない。
病原体
アライグマ回虫の成虫は円筒形で、長さが雄で9~11cm、雌で20~22cmあり、アライグマの小腸に寄生する。虫卵は糞便を通じて外界に放出されるが、115,000~179,000個/雌虫/日という膨大な産卵量がある。これらの虫卵が適当な温度条件のもとで11~14日経過すると卵内に感染幼虫が育ち、幼虫包蔵卵となり、これが病原体となる。本虫がアライグマ体内で寄生が成立する経路には二つある(図2)。第一は幼虫包蔵卵を直接経口摂取することで成虫にまで発育する経路で、第二は体内組織にアライグマ回虫の幼虫を宿しているネズミなどの小動物を捕食すること、つまりある程度発育した幼虫を摂取することで感染が成立し、成虫にまで発育する経路である。ヒトおよびネズミなどの小動物では幼虫包蔵卵を経口摂取したとき、それらは成虫にまで発育できず幼虫のまま体内各所を移動する。そして、固有宿主のアライグマでは認められない激しい病気を引き起こすことになるが、これをアライグマ回虫による幼虫移行症と呼ぶ。
図2.アライグマ回虫(Baylisascaris procyonis)の生活史
図3.アライグマ回虫実験感染マウスの症状
臨床症状
アライグマ回虫による幼虫移行症の病害程度は、摂取した虫卵の数と幼虫の移行部位に依存する。
1)神経幼虫移行症
好酸球性髄膜脳炎として発症する。一命を取りとめた症例でも、発育障害や神経系の後遺症が認められる。
2)眼幼虫移行症
成人を中心に一側性の網膜炎として発症する。視力障害が残り、失明することもある。アライグマ回虫による幼虫移行症は、イヌ回虫やネコ回虫に起因するヒトの幼虫移行症に較べて重篤な場合が多い。これは、体内移行中の幼虫がイヌ・ネコ回虫では0.5mm以下であるのに対して、アライグマ回虫では2.0mm近くにまで急速に発育して体内を移行し、特に中枢神経系での障害が激しいためである。我々はマウスに幼虫包蔵卵を実験的に経口投与し、その症状を観察した。
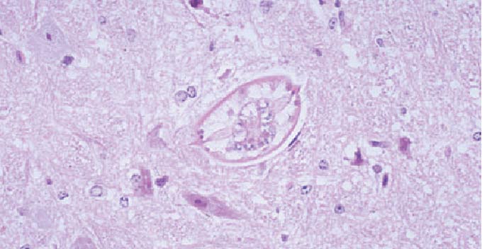
図4.脳から回収された幼虫
図5.脳組織内の幼虫
50個の虫卵を投与した結果、感染後7日目に分泌物が滲出して目を開けられなくなる「閉眼」、一定方向にぐるぐると輪を描くように回り続ける「旋回運動」、終始首を傾けたまま運動する「斜頚」、体を転げ回らせる「横転(さらに痙攣して失禁)」などの特徴的な神経症状を認めた(図3)。感染後10日から死亡する個体もあり、解剖して調べると脳から虫体が回収された。虫体は体長が約1.2mmにも達し、感染幼虫(体長約0.27mm)の4倍以上に発育していた(図4)。大脳の病理組織標本には、皮質を移行中の虫体の断面が認められた(図5)。
病原診断
アライグマ回虫卵で汚染された環境内で突然の好酸球性髄膜脳炎が発生した場合には、本症を疑う必要がある。脳脊髄液好酸球増多、末梢血好酸球増多、MRIでの深部白質異常、および脳脊髄液や血清での特異抗体の検出により診断が行われる。眼幼虫移行症では、検眼鏡により虫体が検出されて診断されたヒト症例も報告されている。
治療・予防
幼虫による中枢神経(系)への障害に関しては、抗線虫薬や抗炎症剤による治療効果は期待できない。しかし、感染後1~3日の時期では抗線虫薬(アルベンダゾール、20~50mg/kg/日、10日間)によって中枢神経(系)へ侵入する以前に駆虫できる可能性がある。アライグマ回虫卵を飲み込んで感染の可能性がある場合には、直ちに抗線虫薬の経口投与が推奨されている。
アライグマの糞に含まれている可能性があるアライグマ回虫卵が唯一の感染源であるので、アライグマの糞で汚染された土壌その他を口に入れるのを避けることが重要である。わが国でのアライグマは、(1)動物園その他で展示用に飼育されているもの、(2)施設や家庭でペットとして飼育されているか、動物業者の元にいるもの、(3)「野生化」して野外で生活しているもの、などのいずれかである。このうち(1)と(2)の飼育群に関しては糞便検査を行い、アライグマ回虫の寄生が認められた個体について抗線虫薬による駆虫を確実に行う。また、寄生個体が1頭でも見つかったアライグマ飼育場や展示場においては、虫卵の不活化処理を完全に行うことが必要である。虫卵を死滅させるには薬剤は殆ど効果がなく、煮沸・焼却などの高温での処置のみが有効である。また、(3)の「野生化」アライグマに関しては直接の接触を避け、アライグマが糞をする場所には近づかないなどの注意が必要である。
(国立感染症研究所寄生動物部 川中正憲 杉山広 森嶋康之)
