住血吸虫症
更新作業中のため、ページの一部に古い情報が含まれる場合があります。
(IDWR 2006年第41号)
住血吸虫症は、成虫が静脈内に寄生することで生じる疾患である。尿路住血吸虫症に属するビルハルツ住血吸虫症(病原体はSchistosoma haematobium)、腸管住血吸虫症に属するマンソン住血吸虫症(S.mansoni)、日本住血吸虫症(S.japonicum)、メコン住血吸虫症(S.mekongi)、およびインターカラーツム住血吸虫症(S.intercalatum)の5種類に分けられ、ヒトが河、湖、沼などの淡水に入って感染する。本疾患は流行地では、社会経済的、公衆衛生的にマラリアに次いで2番目に重要な寄生虫症とされている。わが国では以前、日本住血吸虫症が特定地域に多発していたが、今では撲滅されて新たな患者発生は見られない。しかし最近、日本人が流行地に旅行や滞在したり、さらに外国人の日本訪問が増えるにつれて、輸入感染症としての重要性が高まりつつあり、国内医療機関で適切な医療対応を行なう必要が増大している。
疫学
世界保健機関の推定では、世界中で2億人が本疾患に罹患しており、それによる重篤な合併症での死亡が毎年2万人あるとされている。ビルハルツ住血吸虫症は中東、マダガスカルを含むアフリカの広範な地域とモーリシャスに、マンソン住血吸虫症はアラビア半島、アフリカで赤道より北の殆どの国(エジプト、リビア、スーダン、ソマリア、マリ、セネガル)、モーリシャス、ブラジル、カリブ海諸国のいくつかとスリナム、ベネズエラなどに分布する。日本住血吸虫症は中国の揚子江流域、フィリピン、インドネシアのスラウェシ島などに、メコン住血吸虫症はカンボジアとラオスのメコン川流域に分布し、インターカラーツム住血吸虫症は西~中央アフリカに限局して分布する。
旅行者については、高度流行地であるアフリカへの旅行者が多いヨーロッパにおいても、本疾患は届出疾患ではないので、その全体像は明らかにされていない。しかし、ヨーロッパにおける旅行者疾患のサーベイランスネットワークであるTropNetEuropは、旅行者のみならず流行地からの移民も対象に、マラリア、デング熱とともに住血吸虫症の症例の集計・解析を行なっている。そこでは1999~2001年の期間に、参加医療機関22カ所より333例が報告されている。そのうち種別が記載されていた226例のうち、92例がビルハルツ、130例がマンソン、4例がインターカラーツム住血吸虫症であり、日本およびメコン住血吸虫症はみられなかった。感染地域としてはアフリカが殆どを占め、なかでも西アフリカが多く、国別ではマラウイ、ガーナ、マリ、ブルキナファソ、エジプトの順であった。
アフリカでは住血吸虫症のリスクが高いことは一般にも知られていたが、英国の有名なガイドブックに、マラウイ湖では住血吸虫症にはかからないと間違って記載されていた。そのため多くの旅行者が無防備でマラウイ湖の淡水に入り、英国人旅行者を中心として多くの人が罹患し、わが国でも感染例が報告されている。
かつてわが国にも、甲府盆地をはじめ、九州の筑後川流域、広島県片山地方、静岡県富士川流域などに、日本住血吸虫症の幾つかの流行地があった。しかし、中間宿主となる宮入貝の対策を中心に撲滅計画が進み、感染者数が大幅に減少した結果、1976年を最後に、国内で日本住血吸虫に新しく感染した例は報告されていない。ただし、河川の整備や宅地開発の影響で宮入貝生息地は減少し、現在その生息が確認できない旧流行地も多いが、甲府盆地と小櫃川流域(千葉県)には未だ宮入貝が多数生息している。これら日本産の宮入貝は、フィリピンや中国の日本住血吸虫にも感受性があり、ヒトや動物の移動に伴ってそれらの国から日本住血吸虫が侵入した場合、国内で再興感染症となる可能性を否定することはできない。この点は、国内に中間宿主が存在しないマンソンおよびビルハルツ住血吸虫症と大きく異なる。
病原体
-
図1a:ビルハルツ住血吸虫

-
図1b:マンソン住血吸虫

-
図1c:日本住血吸

図1.主要な住血吸虫3種における虫卵
感染動物はビルハルツ住血吸虫ではヒト、マンソン住血吸虫では齧歯類やヒヒ、日本住血吸虫ではウマやイヌなどを含む多くの動物である。ヒトを含む感染動物が尿や便中に虫卵を排泄するが、虫卵のサイズはビルハルツ、マンソン住血吸虫では110~170×40~70μmであり、前者の場合先端部に(図1a)、後者の場合一側に棘を有する(図1b)。日本住血吸虫卵は80~100×40~60μmで長径がやや短く、楕円形で側面に小棘を有する(図1c)。メコン住血吸虫卵は日本住血吸虫卵に、インターカラーツム住血吸虫卵はビルハルツ住血吸虫卵に類似する。虫卵の中にはミラシジウムが形成されるが、これが水中で中間宿主としての淡水産貝に侵入する。それぞれの住血吸虫は異なる淡水産貝に寄生するが、ビルハルツおよびインターカラーツム住血吸虫ではBulinus属、マンソン住血吸虫ではBiomphalaria属、日本住血吸虫ではOncomelania属(宮入貝)、メコン住血吸虫ではTricula apertaである。淡水産貝の中ではスポロシストを経て、セルカリアに成長する。セルカリアは約0.3mmの長さで二分した尾部を持つが、これが淡水中を遊泳し、ヒトの皮膚を貫通して血中に侵入する。その後、ヒト体内で肺を通過してから静脈に定着するが、シストソミュールのステージを経て成虫となる。
成虫は雌雄異体で、雌虫が雄虫を抱えた形で静脈内に寄生する。体長はビルハルツ住血吸虫の雄虫が10~15mm、雌虫が16~20mm、マンソン住血吸虫の雄虫が6~10mm、雌虫が7~16mm、日本住血吸虫の雄虫が12~20mm、雌虫が25mm程度である。これらの成虫が定着する静脈には特徴があり、それにより特徴的な病変を生ずるが、すなわち、尿路住血吸虫は主に骨盤内静脈で特に膀胱周囲、腸管住血吸虫は門脈枝(腸管膜静脈)内に寄生する。虫卵は主に前者の場合、膀胱壁や尿管壁、後者では腸管壁や肝臓に沈着する。成虫の寿命は通常3~5年であるが、まれには30年の長きにわたることもある。
臨床症状
皮膚からセルカリアが侵入した後、掻痒を伴う皮膚炎(セルカリア皮膚炎、swimmer’s itch)を起こすことがあるが、ビルハルツ住血吸虫症ではみられないことが多い。ビルハルツ住血吸虫症の急性期には頻尿、血尿が見られる。慢性期に入って膀胱壁の線維化が進行すると、膀胱への尿管開口部が狭窄を来たし、尿管閉塞から水腎症、腎盂腎炎、腎不全にも進展する。また膀胱壁の虫卵が石灰化し、X線検査で明らかとなる。本疾患により、膀胱癌の発生は30倍に高まると言われている。他に男性では精巣に病変を生じ、精液に血液を混じることもある。女性では外陰部、膣、子宮頚部、卵管などに病変を生ずることがある。
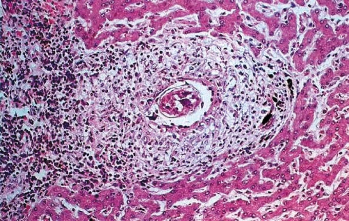
図2.日本住血吸虫症における肝組織像。肝臓内の門脈に詰まった虫卵の周囲に特異的な炎症反応がおき、肉芽腫が形成される。さらに、肝臓の線維化・肝硬変へと発展し、肝臓や脾臓が腫大する。
図3.メコン住血吸虫症患者における肝脾腫と腹水貯留
マンソンおよび日本住血吸虫症では、4週間あるいはそれ以上経ってから急性期症状(片山熱)が出現し、発熱、蕁麻疹、好酸球増多、下痢、肝脾腫、咳嗽/喘鳴などを生じる。慢性期では、腸管や肝臓に沈着した虫卵を中心に結節が生じる(図2)。そして、腸管では線維化やポリープ形成により腹痛、下痢、粘血便がみられ、ときには腸閉塞を生ずることもある。肝では肝線維症へと進行し、特徴的な画像所見を示し、長期経過すると肝脾腫、門脈圧亢進、腹水(図3)、食道静脈瘤の形成、そこからの出血をきたす。これらの変化は日本住血吸虫症の方が顕著にみられる。肝臓の病変は一見して肝硬変に類似するが、肝機能は長期間正常に保たれることが多い。日本住血吸虫症では大腸癌と肝細胞癌の発生が高まると言われたが、最近の疫学調査では否定的見解も多い。
さらに、日本住血吸虫症では脳内血管の虫卵塞栓により、脳腫瘍類似の巣症状など多彩な神経症状を示すことがある。近年、駆虫剤のプラジカンテルによる集団治療が進んだ結果、流行地によっては典型的な肝脾腫を示す例が相対的に減少し、神経症状が目立つようになったとの報告もある。ビルハルツおよびマンソン住血吸虫症では神経症状を示す例はまれであるが、やはり脳の病変により脳腫瘍類似の症状、脊髄の病変により脊髄圧迫症状や馬尾症候群を生じることもある。
病原診断
尿路住血吸虫症では主に尿沈渣中に虫卵を検出するが、これには昼間の尿が適している。定量的にはヌクレポア膜濾過法が行われる。ときには膀胱壁の生検材料で検出されることもある。腸管住血吸虫症では通常便を用い、直接塗抹あるいはASM 3法などの遠心沈殿集卵法にて虫卵を検出する。ときには、直腸粘膜の生検材料で検出されることもある。住血吸虫症の型と虫卵検出検体との関係は絶対的なものでなく、尿路住血吸虫症で便中に、腸管住血吸虫症で尿中に虫卵が検出されることもあり得る。
血清反応としては虫卵周囲沈降反応(COPT)、EIA法などがある。しかし、過去の感染と現在の感染を区別できないこと、住血吸虫種の間での交差反応がありうること、感染後3カ月程度経過しないと陽性を示さないことが多いなどの限界もある。また、可能な限り、対象とする住血吸虫種由来の抗原を用いた血清反応を行なうべきである。さらに、間接的であるが、CT検査や超音波検査での特徴的な肝線維化の所見が腸管住血吸虫症の診断に役立つことがある。
治療・予防
いずれの住血吸虫症でもプラジカンテル40mg/kgの単回投与が基本であり、殆どは治癒に至るとされている。しかし、特にマンソンあるいは日本住血吸虫症では30mg/kgの2~3回投与、40mg/kg/日・分2の2日間投与が行われることもある。プラジカンテルの副作用は軽微であり、出現しても一過性である。治療3カ月後に虫卵検査を行い、治癒の判定をする。
急性期の片山熱は基本的に自然治癒するもので、プラジカンテルの投与が必要であるかどうかは不明であるが、重症例ではステロイド薬も使われる。片山熱でプラジカンテルを投与しても、幼虫に対する効果は顕著でないことから、3カ月後に再投与することが勧められる。中枢神経系病変ではプラジカンテル単独では症状が悪化することも懸念され、ステロイド薬が併用される。生検材料に石灰化虫卵が検出されるのみで、虫卵の排泄がみられない場合には、通常治療の必要はない。
予防としては危険地域の淡水に入らないことである。海あるいは通常の塩素処理されたプールでは感染することはない。淡水に入るのが避けられない場合には、ゴム長靴、ゴム手袋などを着用する。淡水に曝露されてからタオルなどで丹念に拭いても、予防効果は不明である。また、プラジカンテルに予防効果はない。
近年、抗マラリア薬であるアーテミシニン系薬のひとつアーテメーターが、抗住血吸虫薬としても注目されている。アーテメーターは住血吸虫の幼虫ステージにも効果を示すので、感染早期の治療薬としてのみならず、予防にも使用できるとの報告もあるが、まだ一般的にはなっていない。
(国立感染症研究所感染症情報センター 木村幹男、
同寄生動物部 大前比呂思)
