先天性風疹症候群
免疫のない女性が妊娠初期に風疹に罹患すると、風疹ウイルスが胎児に感染して、出生児に先天性風疹症候群(CRS)と総称される障がいを引き起こすことがある。
風疹のサーベイランスやワクチン接種は、先天性風疹症候群の予防を第一の目的に考えている。
疫学
風疹の流行年とCRSの発生の多い年度は完全に一致している。また、この流行年に一致して、かつては風疹感染を危惧した人工流産例も多く見られた(図1)。風疹は主に春に流行し、従って妊娠中に感染した胎児のほとんどは秋から冬に出生している。流行期における年毎の10万出生当たりのCRSの発生頻度は、米国で0.9~1.6、英国で6.4~14.4、日本で1.8~7.7であり、国による差は殆ど見られない。母親が顕性感染した妊娠月別のCRSの発生頻度は、妊娠1カ月で50%以上、2カ月で35%、3カ月で18%、4カ月で8%程度である。成人でも15%程度不顕性感染があるので、母親が無症状であってもCRSは発生し得る。
図1.日本における風疹と先天性風疹症候群(CRS)の疫学
図2.風疹ウイルスの電子顕微鏡写真(加藤茂孝)
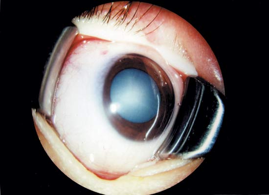
図3.CRS白内障(杏林大学医学部藤原隆明博士提供)
病原体
CRSの病原体は風疹ウイルスである(図2)。ウイルス株による病原性の差は認められていない。発生段階の初期(特に3カ月以内)に胎児内である量以上のウイルス増殖があれば、CRSを引き起すと考えられている。
臨床症状
CRSの3大症状は先天性心疾患、難聴、白内障(図3)である。このうち、先天性心疾患と白内障は妊娠初期3カ月以内の母親の感染で発生するが、難聴は初期3カ月のみならず、次の3カ月の感染でも出現する。しかも、高度難聴であることが多い。3大症状以外には、網膜症、肝脾腫、血小板減少、糖尿病、発育遅滞、精神発達遅滞、小眼球など多岐にわたる。
病原診断
病原体である風疹ウイルスの検出には、ウイルス分離よりもウイルス遺伝子の検出の方が感度も良く、また、時間的にもはるかに短期間でできる。それは、ウイルス遺伝子RNAを逆転写PCRで増幅して検出する方法である(図4)。
CRS患児からは、出生後6カ月位までは高頻度にウイルス遺伝子が検出できる。検体として検出率の高い順から述べると、白内障手術により摘出された水晶体、脳脊髄液、咽頭拭い液、末梢血、尿などである。
CRSの診断としては、症状、ウイルス遺伝子の検出以外に、臍帯血や患児血からの風疹IgM抗体の検出が確定診断として用いられる。IgM抗体は胎盤通過をしないので、胎児が感染の結果産生したものであり、発症の有無にかかわらず胎内感染の証拠となる。
胎児が感染したか否かは、胎盤絨毛、臍帯血や羊水などの胎児由来組織中に風疹ウイルス遺伝子を検出することで診断できる。母親が発疹を生じても胎児まで感染が及ぶのは約1/3であり、またその感染胎児の約1/3がCRSとなる(図5)。
図4.風疹ウイルス遺伝子の検出
図5.出生前診断依頼症例における胎児由来組織からの風疹ウイルスの遺伝子検出率とCRS発生率(加藤茂孝)
治療・予防
CRSそれ自体の治療法はない。心疾患は軽度であれば自然治癒することもあるが、手術が可能になった時点で手術する。白内障についても手術可能になった時点で、濁り部分を摘出して視力を回復する。摘出後、人工水晶体を使用することもある。いずれにしても、遠近調節に困難が伴う。難聴については人工内耳が開発され、乳幼児にも応用されつつあるが、今までは聴覚障害児教育が行われてきた。
予防で重要なことは、十分高い抗体価を保有することであり、接種歴の文書による証明の無いなど、風疹に対して感受性を有する者は風疹を含むワクチンで免疫を付ける必要がある。
妊娠可能年齢の女性で風疹抗体がない場合には、積極的にワクチンで免疫を獲得しておくことが望まれる。妊娠中のワクチン接種は避ける。しかし、たとえワクチン接種後妊娠が判明したとしても、過去に蓄積されたデータによれば障害児の出生は1例もないので、妊娠を中断する理由にはならない。極めてまれではあるが、低い抗体価を保有していながら、再感染によってCRSを発生した例がある。
感染症法における取り扱い(2012年7月更新)
「先天性風しん症候群」は全数報告対象(5類感染症)であり、診断した医師は7日以内に最寄りの保健所に届け出なければならない。
届出基準はこちら(外部サイトにリンクします)
(国立感染症研究所ウイルス第三部 加藤茂孝)
(国立感染症研究所感染症疫学センターにより一部更新)(2013年5月)
