ダイレクトsequence-based typing法により感染源を追究した自宅浴槽でのLegionella pneumophila感染事例―山形県
![]()
公開日:2023年12月25日
(IASR Vol. 44 p207-208:2023年12月号)
はじめに
レジオネラ症は、レジオネラ属菌による呼吸器感染症であり、大半がLegionella pneumophila(L.pneumophila)により引き起こされる1)。レジオネラ症の感染源はレジオネラ属菌に汚染された水系環境であり、感染源の解明には患者検体および患者周辺の環境から分離された菌株を用いた分子疫学解析が有用とされている。今回、培養陰性喀痰検体から抽出されたDNAを用いて行われたダイレクトsequence-based typing(SBT)法により、自宅浴槽におけるレジオネラ感染が推定された事例について報告する。
患者の経過
2023年7月X日、山形県在住の複数の基礎疾患を有する80代男性が呼吸苦、倦怠感の症状を呈した。7月X+4日に医療機関を受診し、単純CTで肺炎像が確認されたため即日入院となった。同日、レジオネラ尿中抗原キット(リボテスト®レジオネラ、極東製薬)陽性によりレボフロキサシン投与が開始され、レジオネラ症として感染症法上の4類感染症の届出がなされた。
患者喀痰の検査結果
7月X+5日に採取された喀痰検体を既報2)に基づいて検査した結果、レジオネラ属特異的LAMP法(Loopamp®レジオネラ検出試薬キットC、栄研化学)陽性(Tt値21分48秒)、L.pneumophila特異的nested-PCR陽性、培養陰性であった。L.pneumophila血清群1-15を検出可能な尿中抗原キットが使用されていたため、Nakaueらの方法3)を改変したmultiplex PCR法4)〔PCRサイクル数を35に増加、反応液の蒸留水に代えて最大01月05日量のQ-solution(QIAGEN)を添加〕により喀痰から抽出したDNA(以下、患者喀痰DNA)からの血清群特定を試みた結果、血清群1遺伝子のみが検出された。
感染源調査
患者は普段から自宅浴槽水の全入れ替えはしておらず、発病2週間前から湯の半分を捨てて新しいお湯を継ぎ足す形で毎日入浴していた。週に1度デイサービス施設でも入浴していたが、本症例以外に有症者はいなかった。温泉施設の利用歴はなかった。以上より、自宅浴槽でのレジオネラ感染が疑われた。
患者自宅浴槽水の検査結果
患者自宅浴槽水の検査の結果、5,600CFU/100mLのレジオネラ属菌が検出された。代表10株のレジオネラ免疫血清を用いた血清型別試験の結果は、すべてL.pneumophila血清群1であった。
分子疫学解析結果
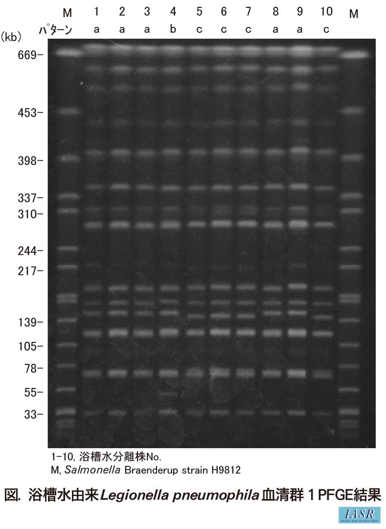
パルスフィールドゲル電気泳動(PFGE)の結果、当該10株は1バンドずつ異なる3群に分類された(図)。患者自宅浴槽水由来5株のSBTはすべて新規シーケンスタイプ(ST)のST3201と決定された(表)。患者喀痰DNAのダイレクトSBTの結果もST3201であった。国内臨床株との比較の結果、ST3201は浴槽水と関連性のある患者から分離されることの多いB1グループに属することが確認された1)。
考察
分子疫学解析結果を踏まえ、本事例は、不衛生な自宅浴槽での入浴を原因とするL.pneumophila感染事例と考えられた。今回の経験は、公衆浴場だけでなく、各家庭の浴槽についても十分な衛生管理によりレジオネラ属菌の感染予防を図っていくべきことを示唆している。また、本報告は、臨床検体からレジオネラ属菌が分離されなくてもnested-PCRによるダイレクトSBT法を用いることで、レジオネラ症の感染源解明が可能になる場合があることを示している2,5)。今後のレジオネラ症感染源調査におけるダイレクトSBT法の活用が期待される。
参考文献
- Amemura-Maekawa J, et al., Appl Environ Microbiol 84: e00721-18, 2018
- Seto J, et al., Jpn J Infect Dis 74: 491-494, 2021
- Nakaue R, et al., J Clin Microbiol 59: e00157-21, 2021
- Seto J, et al., Jpn J Infect Dis (in press)
- 前川純子, モダンメディア 69: 219-225, 2023
山形県衛生研究所
的場洋平 瀬戸順次 池田辰也 水田克巳
山形県村山保健所
遠藤優子 三浦朗子 青木敏也 藤井俊司
国立感染症研究所細菌第一部
佐伯 歩 前川純子 明田幸宏
