ボツリヌス症(詳細版)
更新作業中のため、ページの一部に古い情報が含まれる場合があります。
(2021年03月16日 改訂)
ボツリヌス症をひきおこす細菌について
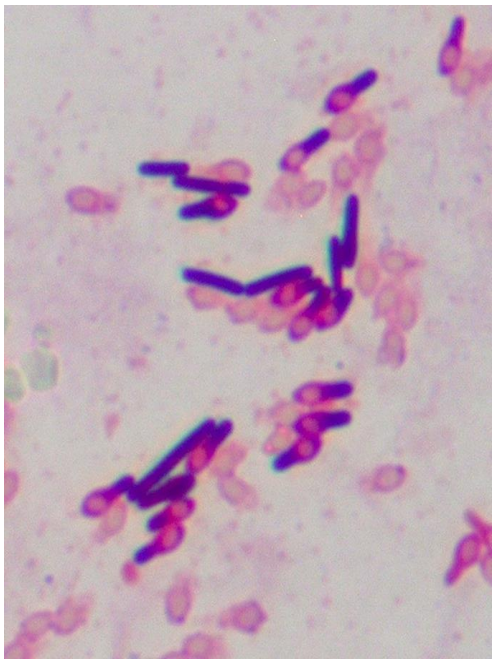
図1.ボツリヌス菌のグラム染色所見
グラム陽性有芽胞桿菌
(写真は2012年食中毒事例より分離されたA型ボツリヌス菌株)
ボツリヌス症(botulism)は、ボツリヌス菌(Clostridium botulinum)が産生するボツリヌス神経毒素(botulinum neurotoxin)によって起こる全身の神経麻痺を生じる神経中毒疾患である。ボツリヌス菌は、芽胞を形成する偏性嫌気性グラム陽性桿菌である。Clostridium botulinum以外にも、Clostridium butyricumおよびClostridium baratiiにおいても類似した毒素を産生する菌株があり、ボツリヌス症を起こす原因となる。ボツリヌス毒素はコリン作動性神経末端からのアセチルコリンの放出を抑制し、その結果、神経から筋肉への伝達が障害され、麻痺に至る。ヒトでボツリヌス症を引き起こすボツリヌス神経毒素は、主にA型、B型、E型、まれにF型である。日本では、現在までにA型、B型、あるいはE型毒素産生性Clostridium botulinum、および、E型毒素産生性Clostridium butyricumによる感染事例の届出がなされた。
ボツリヌス菌およびボツリヌス毒素は、特定二種病原体等として、その所持に関して、厚生労働省の許可が必要と規定されている。
解説
ボツリヌス症は、ボツリヌス菌という細菌が作るボツリヌス毒素によって起きる病気です。このボツリヌス毒素の働きで麻痺(まひ)症状が引き起こされます。ボツリヌス菌は、酸素(さんそ)があると増えることのできない偏性嫌気性菌(へんせいけんきせいきん)の仲間です。ボツリヌス菌は、芽胞(がほう)という「固い殻に閉じこもった種子のようなかたち」では、熱、乾燥、消毒薬等に強い状態になり、厳しい環境でも長く生き延びます。ただし、芽胞のかたちのままでは、増えることはできません。
ボツリヌス症について
ボツリヌス症は、感染症の予防及び感染症の患者に対する医療に関する法律により四類感染症として全数の届出を行うよう義務づけられている。
http://www.mhlw.go.jp/bunya/kenkou/kekkaku-kansenshou11/01-04-32.html(外部サイトにリンクします)
また、ボツリヌス食中毒の場合は、食品衛生法により、届出が義務づけられている。
ボツリヌス症は、病態により、1) ボツリヌス食中毒(食餌性ボツリヌス)、2) 乳児ボツリヌス症、3) 創傷ボツリヌス症、4) 成人腸管定着ボツリヌス症の4型に分けられる。
1歳未満の乳児においての発症は、乳児ボツリヌス症を、成人および1歳以上の小児においての発症は、ボツリヌス食中毒を疑う。
解説
ボツリヌス症と診断した場合、医師はすべての患者について、届出しなければなりません。病気の型により、1) ボツリヌス食中毒、2) 乳児ボツリヌス症、3) 創傷(そうしょう)ボツリヌス症、4) 成人腸管定着ボツリヌス症、および、その他(医療行為などによるボツリヌス症、不明)、に分けられます。
ボツリヌス食中毒(食餌性ボツリヌス)
ボツリヌス食中毒と原因食品
成人および1歳以上の小児で、ボツリヌス症が疑われた場合は、ボツリヌス食中毒としての対応を開始することが必要である。
ボツリヌス食中毒は、食品内に混入したボツリヌス菌芽胞が、嫌気状態の食品内で発芽、増殖し、産生されたボツリヌス毒素を食品とともに摂取することにより発症する。ボツリヌス菌芽胞は、土壌、湖沼などに広く分布し、果物、野菜、肉、魚が汚染され得る。
日本では、1984年の真空パック詰食品(カラシレンコン)を原因食品とする食中毒事例が、よく知られている。同様の真空パック詰食品では、ハヤシライスの具、あずきばっとう(ぜんざいにうどんが入った食品)が原因食品となった事例が発生している。2012年のあずきばっとう食中毒事例の際には、消費者庁は消費者に向けて注意喚起を行い、厚生労働省は事務連絡を行った。さらに、厚生労働省は消費者、および食品関係事業者を対象に、真空パック詰食品(容器包装詰低酸性食品)のボツリヌス食中毒対策に関して情報提供を行った。http://www.mhlw.go.jp/seisakunitsuite/bunya/kenkou_iryou/shokuhin/syokuchu/03-4.html(外部サイトにリンクします)
缶詰や瓶詰めが原因食品であった事例としては、里芋の缶詰、グリーンオリーブ瓶詰めによる事例が報告されている。また、自家製いずし類等の魚を使った発酵食品が原因食品の事例は、すべてE型ボツリヌス菌によるものであった。
一方、原因食品が同定できなかった事例も多く、1例のみの患者発生も多い。喫食歴調査から、疑わしい食品がないという理由や、複数名の発症がないという理由だけで、ボツリヌス食中毒を否定することはできない。
成人および1歳以上の小児で、ボツリヌス症が疑われた場合、確定診断がなされる前から、医師や保健所は、真空パック詰食品等の喫食歴の聞き取り調査を開始する必要がある。同時に、患者の同居者には、患者宅における疑わしい食品残品を喫食しないよう説明および指導をする必要がある。ボツリヌス症と確定診断がなされれば、保健所は同居者や患者家族に協力を求め、患者住居等において食品調査を行い、疑わしい食品を回収して検査を行う必要がある。食品の検査や調査に関しては、各自治体に加え、国立医薬品医薬品研究所が支援・指導を行う。
解説
食品に混入していたボツリヌス菌の芽胞が発芽して食品内で増え、増えたボツリヌス菌が食品内でボツリヌス毒素を作り、そのボツリヌス毒素を食品とともに食べることで、ボツリヌス食中毒は引き起こされます。1歳以上の子供および成人(おとな)で、ボツリヌス症が疑われた場合は、まず、ボツリヌス食中毒の可能性を考えます。
ボツリヌス菌の芽胞は、土壌などに広く認められるため、材料の果物、野菜、肉、魚などとともに食品に混入することがあります。芽胞は熱に強いため、100℃で長時間調理しても死滅させることができません。ボツリヌス菌の芽胞が含まれた食品が、真空パック詰食品や缶詰、瓶詰め、発酵食品内などの「酸素の少ない状態」になると、食品内で、芽胞が発芽し、ボツリヌス菌が増え、ボツリヌス毒素が作られます。
日本では、辛子レンコン、ハヤシライスの具材、あずきばっとう(ぜんざいにうどんが入った食品)等の真空パック詰食品による食中毒事例が報告されています。120℃4分間以上加熱加圧処理をしたレトルトパウチ食品では室温保存が可能ですが、120℃4分間以上の加熱を加えていない真空パック詰食品は、冷蔵保管をする必要があります。パック詰食品を購入保管する際には、冷蔵が必要な真空パック詰食品なのか、常温保存ができるレトルトパウチ食品なのか、よく表示を確認する必要があります。缶詰や瓶詰めの食品についても、酸素がない、あるいは極めて少ない状態となっているため、製造時の加熱が不十分であるとボツリヌス食中毒の原因食品になることがあります。日本では、里芋の缶詰やグリーンオリーブの瓶詰めが原因食品となって、食中毒が発生したことがあります。
自家製の「いずし類」(なれずしの一種で、米麹、魚、野菜を樽の中で漬け込み、乳酸発酵させたもの)などによる事例は、魚についていたボツリヌス菌芽胞が発酵食品のなかで増えたことによります。
ボツリヌス菌芽胞が存在しても、ハチミツの瓶内でボツリヌス菌が増えることはないため、ハチミツを食べることにより、ボツリヌス食中毒になることはありません。ハチミツに関しては、乳児ボツリヌス症の項をご参照ください。
ボツリヌス菌は増えるときに、大変くさいにおいがして、ガスを出します。食品のパックがふくらんでいたり、食品を開封したときに変なにおいがしたりしたら、絶対に食べてはいけません。85℃5分の加熱によりボツリヌス毒素は壊すことができますが、電子レンジでの加熱は有効ではありません。
成人および1歳以上の子供で、病院でボツリヌス症が疑われた場合は、保健所が、発症前に「何を食べたのか」聞き取り調査をしますので(患者本人および同居されている方やご家族は)協力してください。同居している方は、真空パック詰食品、缶詰、瓶詰め等の「残り物」あるいは「食べ残し」がもし冷蔵庫や棚にあっても、絶対に食べないようにしてください。また、その「残り物」あるいは「食べ残し」を調べる必要があるかもしれないので、すぐに捨てないで保管しておいてください。
患者がボツリヌス症と診断された場合、保健所が調査をしますので、ボツリヌス食中毒の原因食品となりそうな食品の検査にご協力くださることをお願いします。その食品の検査の結果、ボツリヌス食中毒の原因となる食品が見つかれば、同じ場所で同じ時期に製造した食品を回収したり、既に購入して家庭にある食品を食べないように注意喚起をしたりすることで、続いてボツリヌス症の患者が出ないように予防できます。
臨床経過
原因食品を摂取してから、6時間から10日間、通常18時間から48時間で発症する。典型的な臨床症状は、眼瞼下垂、複視、嚥下障害、構音障害等の脳神経障害である。意識は清明であり、感覚障害はなく、重複感染がない限りは通常発熱はない。脳神経麻痺から病状が進むと、弛緩性および対称性の麻痺が、頸部、肩、上肢(上腕から前腕へ)、下肢(大腿から下腿へ)の筋肉へ及ぶ。咽頭筋の麻痺による気道閉塞と、横隔膜および呼吸筋における麻痺が呼吸機能障害を引き起こせば、挿管が必要になる。自律神経症状としては、口内乾燥、無汗症などが認められる。消化管症状(嘔吐、腹痛、下痢等)を認めることもあるが、すぐにこれらの症状は便秘となる。
症状は軽度の脳神経障害のみの場合もあれば、すべての随意筋において麻痺が起きる場合もある。病状の進行は数時間から数日にわたることもある。症状が1か月以上続き、回復にはリハビリテーションを含めて1年程度かかることもある。A型ボツリヌス菌による感染では、B型やE型よりも、より重症化しやすいが、適切な治療がなされれば、致死率に明らかな差はないと報告されている。
治療
ボツリヌス症が強く疑われた場合は、細菌学的検査結果が出る前に、乾燥ボツリヌスウマ抗毒素(A型、B型、E型、F型)により治療する。乾燥ボツリヌスウマ抗毒素は、神経末端に結合していない血中のfree toxinを中和する。他の神経疾患との鑑別診断が難しい場合、特に小児のケースでは、乾燥ボツリヌスウマ抗毒素の使用は慎重に検討する必要がある。抗毒素抗体の血中での半減期は5-8日間であるため、通常繰り返して使用する必要はないとされる。原因食品が特定され、原因食品をともに摂取したヒトがいる場合は、症状がなくても、乾燥ボツリヌスウマ抗毒素の使用について検討する。
乾燥ボツリヌスウマ抗毒素は、国が備蓄している抗毒素製剤で、医療機関から都道府県への依頼により供給される。乾燥ボツリヌスウマ抗毒素に関する厚生労働省の担当課は、健康局結核感染症課である。なお、供給依頼し購入した抗毒素は未使用でも返品できない。
抗菌薬使用は、重複感染への治療以外では効果が限られると考えられ、特にアミノグリコシド系抗菌薬はボツリヌス毒素の作用を増強しうるため、使用を避けるべきとされる。
解説
原因となる食品を食べてから、多くは18時間から48時間後に、症状が現れます。症状は、まぶたが垂れ下がる、物が二重に見えたりかすんで見えたりする、物が飲み込みにくくなる、ろれつが回らなくなる、口渇などの神経症状です。意識ははっきりしたままで、聞く、触る、においを嗅ぐなどの感覚の働きは保たれます(物が二重に見えるなどを除けば見る機能も保たれます)。ふつう熱はありません。病気が進むと、首、肩、腕、足の筋肉に麻痺(まひ)がおきます。呼吸をするために必要な筋肉が麻痺し呼吸困難になった場合は、筋肉の機能が回復するまで、人工呼吸器によるサポートが必要になります。適切な治療がなされないと、息ができなくなることで、死に至ることもあります。一方、軽症ですんで病気にかかったことに気付かないこともあります。最初に、嘔吐や下痢を認めることもありますが、すぐに便秘になるのが特徴です。症状が1か月間以上続き、回復に1年以上かかる場合もあります。
ボツリヌス毒素に対するウマの抗血清が治療に使われます。ウマの血清なので、アレルギー症状が起きないか、治療前に薄めた少量の薬剤で試験をしてから使用します。患者が、以前にウマの血清による治療を行なったことがあれば、ご自身やご家族などから、担当医に情報提供してください。
細菌学的検査
臨床的にボツリヌス症を疑った場合は、すみやかに保健所に連絡をとることが、患者における早期診断はもちろん、食品の回収や注意喚起による感染予防につながる。
- 臨床所見からボツリヌス症を疑った場合の細菌学的検査の進め方
医療機関は保健所に連絡し、保健所は、各自治体の衛生研究所あるいは国立感染症研究所(細菌第二部)に、臨床検体における行政検査を依頼する。
臨床的に強くボツリヌス症が疑われる場合は、乾燥ボツリヌスウマ抗毒素を使用することがあるが、必ず検体採取は、抗毒素使用前に行う。便秘のために糞便検体採取が困難な場合では、摘便や少量の滅菌水で浣腸を試みる。患者の血清や糞便検体は、冷蔵状態で(できれば冷凍せずに)、保健所を介して、試験を実施する地方衛生研究所あるいは国立感染症研究所に輸送する。 - ボツリヌス症の細菌学的検査
ボツリヌス疑い患者においては、血清中、糞便検体中のボツリヌス毒素検出、糞便検体からのボツリヌス毒素産生菌の分離培養が行われる。
ボツリヌス症の検査にはマウス試験が必要であることに加え、ボツリヌス菌およびボツリヌス毒素は特定二種病原体であり、厚生労働省の許可がない実験施設では所持できない。従って、一般の医療機関の臨床検査室や民間検査センターでは検査を行うことはできない。医療機関で培養検査を試みることは、結果的に診断が遅れるのみならず、貴重な検体が不適切な検査に使用されることで、誤った診断につながりかねないため、避けなければならない。
医療機関の検査室で二種病原体を検出した場合(すなわち、ボツリヌス毒素産生性ボツリヌス菌を検出同定した場合)は、1日以内に(同定した翌日までに)厚労省結核感染症課に届出を行った上で、検出後3日以内に滅菌等を実施する必要がある。 - 食品における細菌学的検査
食中毒の疑いが想定される場合には、患者宅での調査を通じ、原因として疑われる食品が回収される。患者が、ボツリヌス症と診断されれば、各自治体の衛生研究所あるいは国立医薬品食品衛生研究所(食品衛生管理部)において、食品における検査が行われる。
回収された食品においては、食品中ボツリヌス毒素検出、食品からのボツリヌス毒素産生菌の分離培養が行われる。食品からのスクリーニングを目的としたボツリヌス毒素遺伝子試験法について、現在「食品からの微生物標準試験法検討委員会」において検討されている。 - Clostridium sporogenesの分離について
Clostridium sporogenesとClostridium botulinumは、毒素産生性以外の性状では、区別できない。
神経症状のない患者からの臨床検体から分離された菌が、質量分析(MALDI-TOF MS)や生化学的性状試験などによりClostridium sporogenes/Clostridium botulinumと同定された場合は、Clostridium botulinumである可能性は極めて低い。神経症状を認め、臨床的にボツリヌス症を疑う患者からの検体においては、医療機関の検査室や民間検査センターで細菌学的検査を行わずに、保健所を介して、ボツリヌス毒素検出が可能な機関へ行政検査として依頼する。
解説
ボツリヌス症の診断には、血液中のボツリヌス毒素や、便中のボツリヌス毒素やボツリヌス菌を調べることが必要です。また、食中毒の原因の可能性のある食品についてボツリヌス毒素やボツリヌス菌を調べます。検査には動物を使った特別な試験が必要なので、病院の検査室ではなく、都道府県や国の研究所で行われます。
乳児ボツリヌス症
乳児ボツリヌス症と原因
乳児ボツリヌス症は、生後1年未満の乳児がボツリヌス菌芽胞を経口的に摂取した場合、乳児の消化管内で増殖した菌により産生されたボツリヌス毒素の作用により発症する。日本では、乳児ボツリヌス症は1986年に最初に報告され、2020年までに42例を数える。42例とも1歳未満(中央値6か月齢)であるが、10か月齢3例、11か月齢4例においても発症している。
1987年にハチミツ摂取が原因と考えられた症例が続いたため、同年10月20日に、厚生省(当時)から、乳児ボツリヌス症の予防対策について通知が出された。1990年以降ハチミツが原因とされた症例の発生はなかったが、2017年に、ハチミツを摂取した5か月乳児が本症を発症、死の転帰をとったため、厚生労働省医薬・生活衛生局、生活衛生・食品安全部監視安全課から、事務連絡が出された。http://www.mhlw.go.jp/file/06-Seisakujouhou-11130500-Shokuhinanzenbu/0000161263.pdf(PDF:332KB)ハチミツが推定原因とされる乳児ボツリヌス症例は、1986年から1989年までの12例に2017年の1例を加えて、計13例であったが、1990年から2020年までに認められた29例では明らかなハチミツ摂取歴がなかった。ボツリヌス菌芽胞の混入が認められたハチミツを摂取した事例以外では、ボツリヌス菌芽胞は周囲の環境から獲得したと考えられている。
乳児ボツリヌス症発症の原因として因果関係が明らかな食品はハチミツであるため、ハチミツは1歳未満の乳児には食べさせないように指導する必要がある。また、1990年以降に発症した乳児ボツリヌス症例において、2017年の1例以外ではハチミツ摂取歴がなかったことから、ハチミツ摂取歴がないことを理由に、乳児ボツリヌス症の診断を否定することはできない。
解説
ボツリヌス菌の芽胞を食べると、1歳未満の乳児の腸内で、「固い殻に閉じこもった種子のようなかたち」の芽胞から、「増えることができるかたち」になってボツリヌス菌が増殖し、乳児は自分の腸内でボツリヌス菌が作った毒素によって、ボツリヌス症にかかります。この病気を「乳児ボツリヌス症」と呼びます。
日本で、はじめて乳児ボツリヌス症が診断されたのは1986年で、赤ちゃんの便からも、この赤ちゃんが食べていたハチミツからもボツリヌス菌が検出されました。1987年には、ハチミツが原因と思われる乳児ボツリヌス症例が続いたため、同年、厚生省(当時)から1歳未満にはハチミツを与えないようにという通知が出ました。その後、1989年の事例を最後に、ハチミツを食べたことが原因で発症した症例はなかったのですが、2017年にハチミツを食べたことが原因と思われる症例が1例認められました。
一方、1990年から2020年までに報告された乳児ボツリヌス症例で、2017年の1例を除いた29例では、ハチミツを食べていませんでした。ハチミツ以外では、乳児は、まわりの「環境」からボツリヌス菌芽胞を得たといわれています。乳児ボツリヌス症の原因として明らかな食品はハチミツなので、1歳未満の乳児にはハチミツは食べさせないようにしましょう。
ボツリヌス菌はハチミツのビンのなかでは増えませんし、ボツリヌス菌芽胞が入ったハチミツを成人が食べても、ボツリヌス菌は(健康な)成人の腸内では増えません。したがって、ハチミツからボツリヌス菌芽胞が認められても、そのハチミツを市場から回収する必要はありません。
臨床経過と治療
乳児ボツリヌス症は、便秘で気づくことが多く(多くは3日以上持続)、不活発、哺乳力低下、泣き声の減弱等の症状が認められる。眼瞼下垂、咽頭反射減弱などの脳神経麻痺から、頸部、体幹部、上下肢へ、弛緩性および対称性の麻痺、筋緊張低下が進み(floppy baby)、横隔膜に麻痺が及ぶと人工呼吸器の使用が必要となる。
乳児では、対症療法が行われ、乾燥ボツリヌスウマ抗毒素は使用しない。米国では、A型抗毒素およびB型抗毒素を含むヒトのグロブリン製剤(BIG-IV)も利用される。呼吸管理等に伴う合併症がなければ、乳児ボツリヌス症の予後は良好で、米国では死亡率は1%未満である。日本では確認された42症例で2017年の事例が唯一の死亡例であった。
乳児ボツリヌス症では、腸内で菌が増殖するため、回復後も数ヶ月間、便とともにボツリヌス菌が排出される。入院中の感染対策だけでなく、退院後は1歳未満の乳児がいる環境では、特に排泄ケアに注意するよう保護者を指導することが必要である。
解説
乳児ボツリヌス症では、便秘、元気がない、おっぱいを飲まない、泣き声が小さい等の症状に加えて、まぶたが垂れ下がったり、首がすわらなくなったりします。さらに、腕や足へ左右対称の麻痺(まひ)が進むと、「くにゃくにゃ」したようすになります。発熱やけいれんはありません。呼吸をするために必要な筋肉が麻痺すると人工呼吸器による治療が必要な場合もあります。このような対症療法がうまくいけば、乳児ボツリヌス症の経過は良く、米国では死亡率は1%以下と報告されています。
乳児ボツリヌス症では、乳児の腸内でボツリヌス菌がふえるため、乳児が回復したあとも、場合によっては数ヶ月間、便とともにボツリヌス菌が排泄されます。そのため、退院したあとも、他に1歳未満のこどもがいるようなところでは、オムツを交換するときにまわりを便で汚さないようにする必要があります。ボツリヌス菌は、芽胞というかたちでは、アルコールなどの一般に手指消毒に使われる消毒薬は無効なので、オムツ交換をしたあとは、石けんと流水でよく手を洗ってください。
創傷ボツリヌス症
ボツリヌス毒素産生菌芽胞により汚染された創傷部において、ボツリヌス菌が増殖し、ボツリヌス毒素が産生されることにより発症する。米国等では、black tar heroinの皮下注射に伴う発症例の増加が報告されている。日本では、現在のところ、報告例はない。
潜伏期間は、ボツリヌス食中毒より長く、4日間から18日間である。初期の消化管症状を除けば、臨床症状はボツリヌス食中毒と同様である。また、食中毒では認められない発熱が認められる可能性がある。細菌学的検査は、創部組織検体におけるボツリヌス毒素検出、ボツリヌス毒素産生菌検出、血清におけるボツリヌス毒素検出を行う。創傷ボツリヌス症では、乾燥ボツリヌスウマ抗毒素による治療に加え、創傷部のデブリドマンと抗菌薬の使用が行われる。
解説
傷口がボツリヌス菌芽胞によって汚染されて、傷の酸素のないところでボツリヌス菌が増えて、増えたボツリヌス菌が毒素を作ることによって、引き起こされます。米国等では麻薬使用者で増加していると報告されていますが、日本では、いまのところ届出例はありません。
成人腸管定着ボツリヌス症
成人や1歳以上の小児において、乳児ボツリヌス症と同様の病態で、ボツリヌス毒素産生菌が消化管内で増殖し産生されたボツリヌス毒素の作用により発症する。消化管に器質的あるいは機能的異常がある場合や、抗菌薬使用等による消化管でdysbiosisが認められる場合が多い。
日本では、2016年から2020年までに計3例の成人腸管定着ボツリヌス症の届出があり、2例は、各々5歳および4歳の基礎疾患を持つ小児で、残る1例は臓器移植歴のある成人であった。3例ともA型ボツリヌス菌による感染であった。
成人腸管定着ボツリヌス症の多くは、乳児ボツリヌス症と同様に、どのようにボツリヌス菌芽胞を獲得したのか不明であるが、成人および1歳以上の小児で、ボツリヌス症が疑われた場合は、まず、ボツリヌス食中毒を疑い、食歴調査を開始することが重要である。消化管内でボツリヌス菌が増殖し毒素産生が持続しているため、ボツリヌス抗毒素により治療した後も、症状が長引いたり再燃したりする可能性がある。また、長期間、糞便にボツリヌス菌の排泄が認められる。
解説
成人や1歳以上の小児でも、乳児ボツリヌス症と同様に、ボツリヌス菌芽胞が腸内で発芽して増え、毒素を作り、ボツリヌス症を引き起こすことがあります。そのような病気を、成人腸管定着ボツリヌス症といいます。腸に病気があったり、腸の手術をした後だったり、抗菌薬を飲んだり点滴していたりして、「腸管がボツリヌス菌のふえやすい状態」になっているヒトで発症する病気です。
日本では、2020年までに3例で届出がありました。成人腸管定着ボツリヌス症の多くでは原因食品は不明ですが、1歳以上で、ボツリヌス症が疑われた場合は、まず、ボツリヌス食中毒を疑って、発症前に何を食べたのか調べる必要があります。
その他
上記4型にあてはまらない病態としては、医療行為による感染、実験室内感染、生物兵器(バイオテロリズム)による感染がある。医療行為による感染に関しては、ボツリヌス毒素製剤は、片側顔面けいれん、眼瞼けいれん、ジストニア等の治療に用いられるほか、美容目的でも使用され、高いドーズでの使用等に伴う副作用の報告がある。
日本では、「不明」として、2020年までに、5事例が届けられているが、少なくとも、医療行為による感染でも、実験室内感染でも、生物兵器による感染でもないことが確認されている。5例中4例はA型ボツリヌス菌による感染で、1例はE型毒素産生性Clostridium butyricumによる感染であった。
解説
ボツリヌス食中毒、乳児ボツリヌス症、成人腸管定着ボツリヌス症、創傷ボツリヌス症の他には、医療行為による感染、ボツリヌス菌やボツリヌス毒素を扱う実験室での感染、生物兵器(バイオテロリズム)による感染などがあります。
ボツリヌス毒素は、神経や筋肉の病気の治療目的のほか、美容上の目的でも使用されます。海外では、このような医療行為に伴うボツリヌス症事例の報告がありますが、日本ではいまのところ届出例はありません。
(国立感染症研究所 細菌第二部)
関連項目
関連情報
IASR関連記事
記事を表示する




