ニパウイルス感染症(詳細版)
更新作業中のため、ページの一部に古い情報が含まれる場合があります。
(IDWR 2005年第3号掲載)
1999年3月にマレーシアで発生した急性脳炎の多発は、新種のパラミクソウイルスであるNipah virus(ニパウイルス)によるブタの感染とヒトでの脳炎であることが解明された。マレーシア政府は、感染源となったブタの屠殺処分を行い、ヒトへの感染経路を遮断した。しかしその後も2004年、バングラデシュでヒト感染例がみつかっている(付1参照)。ニパウイルス感染症は新興感染症としてのアウトブレイクであったが、日常的疾患のサーベイランスの重要性、その中から不明のものが出現した場合の対応、国家レベルでの重症感染症・新感染症への対応、新興感染症に対する国際協力の重要性が再認識された。
わが国においては、当時からこれまで直接的な被害はないが、2003年11月改正の感染症法では、本症は四類感染症に指定された。
疫学
1997年、マレーシア北部Perak州Kintにおいて、養豚場労働者の間で急性脳炎の流行があり、1人の死者が出た。当地は日本脳炎(JE)の常在地域であり、当時この流行はJEウイルスによるものであろうと考えられていた。翌1998年9月、再び同州の首都Ipoh市で同じく養豚業者の間で急性脳炎患者の発生があり、1999年2月まで少数例の発生が続いた。1998年12月~1999年1月には、首都クアラルンプールに近い南部のNegri Sembilan州Sikamat市周辺で同様の患者発生がみられた。第3のクラスターが最大のもので、同じくNegri Sembilan州のBukit Pelandok市で1998年12月に少数例が発生し、1999年2~3月に患者が急増し、週ごとに数十人単位で増加し、その半数は死亡というものであった。
いずれも当初はJEであると考えられ、媒介蚊の駆除、JEワクチンの集団接種などの対応がなされたが、患者のほとんどが成人男性であり、養豚場で豚の屠殺に関与している労働者であること、JEワクチン既接種者からも患者発生が出ていること、養豚場の豚に呼吸器・神経系の症状を示す死亡例があることなどから、JEとは異なる脳炎の流行として調査が進められた。
アウトブレイクの経過中に病原体としてNipah virusが確定された。1998年9月~1999年3月の間に急性脳炎として登録された患者は265人、うち死亡者は105人であった。155/265人がニパウイルス感染、37/265人がNipah/JE感染、11/265人がJEと確認された。死亡者については、55/105人がNipah感染、21/105人がNipah/JE感染、4/105人がJE感染であった。
脳炎患者の93%は養豚農場関係者で、41.9%は労働者、38.5%は経営者で、これらとは直接の関連のない者であっても、養豚場で作業の経験がある、あるいはきわめて養豚場に近接した場所に住んでいる者であった。年齢は10~19歳が6.4%、10歳以下はわずかに12%であり、その多くは20歳以上で、82.6%が男性であった。
マレーシアはマレー系、中国系、インド系の住民からなる多民族国家である。中国系住民は全体の約5%を占めるにすぎないが、今回の患者については70.6%が中国系であり、その他についてはインド系11.3%、外国人労働者11.3%、マレー系1.1%であった。なおマレーシアにおける養豚業者の大半は中国系である。
以上の年齢、性、職種、人種などは、JEの流行では説明できないものであり、この疫学的傾向は第3のクラスター発生の頃から明瞭になり、非JEの可能性を強く示唆するものとなった。
病原体
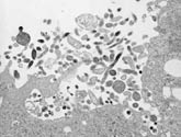
図.ニパウイルスの電子顕微鏡像(長崎大学熱帯医学研究所森田公一氏提供)
マラヤ大学では、第3のクラスターの初期に死亡した3例より得られた髄液のうち、2例についてウイルス分離を試みたところ、Vero細胞に接種したものについて接種5日目に合胞体形成が確認された。形態的にはパラミクソウイルス様であったが、同定不能であった。既知のウイルスおよびJEウイルスについてはことごとく陰性であった。このウイルスは、米国CDC(Centers for Disease Control and Prevention)によって、1994年にオーストラリアにおいて発見されたパラミクソウイルスの新種であるHendra virus(付2参照:当初equine morbilivirusと呼ばれていた)と類似のウイルスであることが判明した。
しかしこのウイルスは遺伝子レベルではHendra virusとは21%、同じくアミノ酸レベルでは11%の変異が見られ、近縁であるが独立の新パラミクソウイルスであると考えられた。当初Hendra virus-like virusと呼ばれていたこのウイルスは、ウイルスが分離された患者の村と川の名前にちなんで、新たにNipah virus(ニパウイルス)と名付けられた(図)。
感染経路は、感染ブタの分泌物および尿などとの濃厚な接触と考えられている。流行当初、医療機関従事者は患者をJEとして対処しており、特別なバイオハザードの注意を払わずに診療、一般検査、解剖、ウイルス検査などを行っていたが、これらを担当した者の中からはニパウイルス感染者はみつかっていない。したがって、ヒトからヒトへの感染の可能性は極めて低いものと考えられた。
Nipah virusの自然宿主はコウモリである。マレーシアにおいては、養豚業が盛んになるにつれてジャングルなどを切り開き大規模経営となり、その結果ブタが未知のウイルスと遭遇し、そのブタを介してヒトへ感染が伝播されたと考えられている。
なお、1997年のマレー市北部における急性脳炎患者の中には、ニパウイルスに対するIgG抗体が証明されるものがあり、ニパウイルス脳炎は既に1997年に発生していたことが推測されている。
臨床症状・徴候
主な臨床症状は、急激に現れる発熱、頭痛、めまい、嘔吐など、急性脳炎症状であり、特異的なものはない。94例の確定例についての報告では、患者の55%に意識障害、脳幹機能不全症状などがみられ、ミオクローヌス、筋緊張低下、高血圧、多呼吸などが現れた。何らかの髄液所見の異常は75%にみられている。完全回復者は53%、致死率は32%、神経障害などの後遺症を残した者は14%で、極めて予後不良の重症疾患であるといえる。なお、人形の眼症状(doll's eye finding)、高血圧、頻脈などは予後不良の徴候であった。
神経障害を残した3例の患者に、初発症状から3~39日後に症状の再燃をみている。また、その割合は明らかではないが、不顕性感染者の存在も指摘されている。
一般的臨床検査で特異的なものはない。共通する組織所見は中枢神経系における血管炎と内皮細胞の傷害で、血管壁の壊死、血栓、リンパ球・好中球などの炎症細胞の浸潤がみられた。この血管障害は肺、心、腎などでもみられた。
ヒトへの感染源となったブタの臨床症状は、主として呼吸器系症状であり、中程度~高度の咳嗽、気道分泌物の増加、呼吸困難、または時に痙攣やその他の神経症状が現れる。ブタにおけるニパウイルス罹患率は高いが、ヒトと異なってその致死率は低い。流行のあった養豚場では、90%以上のブタが抗体陽性であったと報告された。流行地域ではそのほかにイヌ(50%以上)、ネコ(1/23)、ウマ(2/47)、コウモリ(15/99)がニパウイルス抗体陽性であったことが報告された。
病原診断
病原診断は、髄液、尿、気道分泌液などを材料とし、Vero細胞などを利用した組織培養でウイルスの分離を行う。血清IgM抗体の測定、RT-PCRを用いたウイルス遺伝子検出法なども確立されている。
治療・予防
急性脳炎の治療に準じるが、リバビリンが効果があったとする報告がある。ワクチンなどによる予防法はない。
付1:2004年、バングラデシュにおいて、複数のニパウイルス感染症アウトブレイクが確認されている。致死率はマレーシアにおいて40%と報告されたものより高く、60~74%であった。マレーシアではブタを介しての感染であったが、バングラデシュではウイルス保有コウモリによって汚染された果実類から感染したと言われている。また、ヒトからヒトへの感染が生じた可能性も推測されている。
付2:Hendra virus:パラミクソウイルスに分類されるRNAウイルスである。1994年、オーストラリアで競走馬の肺炎から3人のヒトに感染、2人が死亡したことでその存在が初めて明らかになった。1人は呼吸器感染、1人は中枢神経感染像であった。自然界の宿主は大型コウモリ(fruit bat)で、コウモリからウマへ感染、ウマの尿がヒトへの感染源と考えられている。それ以降のヒトへの感染の報告はないが、パプアニューギニアのコウモリにはHendra virus感染が確認されている。
感染症法における取り扱い(2012年7月更新)
全数報告対象(4類感染症)であり、診断した医師は直ちに最寄りの保健所に届け出なければならない。
届出基準はこちら(外部サイトにリンクします)
参考文献
- Chua KB, Goh KJ, Wong KT, Kamarulzaman A, Tan PSK, Ksiazek TG, Zaki SR, Paul G, Lam SK, and Tan CT. Fatal encephalitis due to Nipah virus among pig-farmers in Malaysia. Lancet 354, 1257-1259, 1999.
- Goh JG, Tan CT, Chew NK, Tan PSK, Kamarulzaman A, Sarji SA, Wong KT, Abdullah BJ, Chua KB, and Lam SK. Clinical features of Nipah virus encephalitis among pig farmers in Malaysia. N Eng J Med 342, 1229-1235, 2000.
- 岡部信彦、森田公一:ニパウイルスによるアウトブレイク. ウイルス50(1):27-33, 2000.
- Outbreak of Hendra-like virus - Malaysia and Singapore, 1998-1999. MMWR/CDC 48, 265-269, 1999.
- Taha AM and the Study Group. An outbreak Nipah virus in Malaysia. WHO Working Group on Zoonotic Paramyxoviruses. WPR/EMC/CDS/(1)/99/IB/3a p9 July 1999.
(国立感染症研究所感染症情報センター 岡部信彦)
