オウム病(詳細版)
更新作業中のため、ページの一部に古い情報が含まれる場合があります。
(IDWR 2001年第45号掲載)
オウム病はオウム病クラミジア(Chlamydia psittaci 以下C. psittaci)による人獣共通感染症である。
感染様式としては、病鳥の排泄物からのC. psittaci の吸入が主体であるが、口移しの給餌や噛まれて感染することもまれにある(図1)。飼育しているトリから複数の家族が同時に感染し発症する家族内発生も、ときに認められる。オウム病の潜伏期間は1~2週間で、急激な高熱と咳嗽で発症する。軽症の気道感染から、肺炎や髄膜炎までの多様な病態を含む。市中肺炎における頻度はさほど高くはないが、中等症までの非定型肺炎と原因菌不明の重症肺炎では、必ず鑑別に入れる必要がある。
疫学

図1.オウム病の感染様式と病態
ペットブームで推定約300万世帯がトリを飼育しているとされ、感染源としてトリとの接触歴は重要である。オウム病は本来トリの感染症で、保菌していても一見健常である。弱ったときやヒナを育てる期間に排菌しやすい。セキセイインコなど国内生産されるトリにおける汚染がみられ、また、自然界のトリにも侵淫している。
ドバトの保菌率は20%程度と高く、ヒトへの感染源となりうる。本邦において、オウム病の感染源となった鳥類の追跡調査では、60%がオウム・インコ類であり、そのうち約3分の1はセキセイインコである。オウム病は主として30~60歳の成人に発症することが多く、小児の感染は比較的少ないとされる。
1999年4月の感染症法施行以前には異型肺炎の中に含まれ、市中肺炎の2~3%程度と推測されていたが、実態を反映しているかどうかは不明であった。感染症法施行以後は4類感染症全数把握疾患となったが、年間報告数は1999年(ただし4~12月)が23例であり、性別では男性8例、女性15例であった。また、年齢では25歳以上が22例であった。時期的には5月に多い傾向が見られている。都道府県別では京都府、大阪府、兵庫県(いずれも3例)からの報告が多かった。また、2000年の年間報告数は18例であり、性別では男性7例、女性11例であった。年齢では全て20歳以上であった。時期的には特定の傾向は見られなかった。都道府県別では福島県・東京都(各3例)、埼玉県・千葉県・岡山県(各2例)からの報告があった。
実際にはマイコプラズマ肺炎や肺炎クラミジア肺炎と同様に、かなりの症例が確定診断をされずに異型肺炎として治療されているものと思われる。
病原体
図2.クラミジアの生活環−松本原図
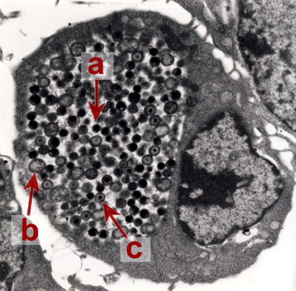
図3.オウム病クラミジアの電顕像
(a:基本小体、b:網様体、c:中間体)
クラミジアはDNAとRNAを有し、細菌に属するが、特異な性質を有する偏性細胞内寄生性微生物である。人口培地では増殖できず、細胞に感染して封入体を作り、その中で特異な形態変化をしながら増殖する。感染性を持つ基本小体と増殖型の網様体、その中間体などの極めて複雑な形態をとりながら、2分裂を繰り返した後、おおよそ48時間後には一部の巨大化した封入体の膜は破壊され、次に細胞膜も破壊され、クラミジア粒子が排出される(図2,3)。基本小体は新しい細胞に再び感染し、増殖を繰り返す。
臨床症状
オウム病の病型には、インフルエンザ様の症状を呈する異型肺炎、あるいは肺臓炎の型と、肺炎症状が顕著ではない敗血症様症状を呈する型とがある。高熱で突然発症する例が多く、頭痛、全身倦怠感、筋肉痛、関節痛などがみられる。比較的徐脈、肝障害を示すことが多い。呼吸器症状としては、乾性あるいは湿性咳嗽がみられ、血痰、チアノーゼを認める重症例もある。病態は上気道炎や気管支炎程度の軽症例から肺炎まで様々であるが、特に初期治療が不適切でARDSや重症肺炎に至った場合、さらに髄膜炎、多臓器障害、ショック症状を呈し致死的な経過をとることもある。
胸部理学所見は病変の程度により様々であり、胸部X線所見もマイコプラズマ肺炎に類似し、オウム病に特有な所見はないとされる。検査所見では白血球数は正常で、CRPや赤沈は亢進する。中等度の肝機能異常をきたすことが多い。
病原診断
オウム病の診断には、とくにトリとの接触歴についての問診が重要である。飼育鳥が死んでいる場合は特に疑いが濃い。飼っていなくても、ペットショップに立ち寄ったり、公園でハトと接触した、などの接触歴がある場合が多い。
病原診断には、患者の気道や病鳥からのC. psittaci 検出、あるいは血清特異抗体の測定が行なわれる。患者咽頭材料やトリからは分離、PCRで検出可能であるが、分離は細胞培養を必要とすることや、実験室内感染の恐れがあるため、特定の施設でのみ行われる。
臨床の現場では血清診断が主体となる。従来オウム病の血清診断に用いられてきた補体結合反応(オウム病CF)は、主に属特異抗体を測定するものであり、他のクラミジア種の感染でも陽性となるため、可能な限り種の特定ができるmicro‐IF法などを用いるべきである。原則として、ペア血清で4倍以上の上昇を認めた場合に確定診断とする。
治療・予防
血清診断の結果は通常治療開始時には出ていないので、明らかにトリとの接触歴がある場合は、オウム病による肺炎を第一に考えて直ちに治療を開始する。クラミジアに対しては、細胞壁合成阻害剤であるペニシリン系薬やセフェム系薬などのβ‐ラクタム薬は無効である。また、アミノ配糖体も効果はない。オウム病に対してはテトラサイクリン系薬が第一選択薬である。マクロライド系、ニューキノロン系薬がこれに次ぐ。
中等症以上での処方例
ミノサイクリン(100mg)1日2回点滴静注
入院治療を行う。投与期間は10~14日であるが、軽快後は内服に切り替えも可能。
軽症での処方例
下記のいずれかを用いる。
- ミノサイクリン(100mg)2錠分2朝夕
- クラリスロマイシン(200mg)2錠分2朝夕
幼小児や妊婦では、テトラサイクリン系薬の歯牙や骨への沈着を考慮して、エリスロマイシンの点滴静注やニューマクロライド薬の内服などを行う。
投与期間については、一般的な市中感染の細菌性肺炎では7~10日程度のことが多いが、クラミジアに対しては除菌を考慮し、約2週間と長めの投与がよい。全身状態の改善が良好であれば、経口剤に切り換えてもよい。胸部X線像や赤沈の改善が完全でなくても、他の所見が明らかに改善していれば、特に元気な若い人の場合などには、治療を終了しても通常問題はない。
全身症状によっては補助療法を行う。肺炎が両側に広がり低酸素血症を来たした場合には、酸素投与や呼吸管理を行い、またステロイドを使用する。DICへの対応が必要になることもある。
予防としては、トリの飼育者に、オウム病の知識を普及させることが重要である。過度な濃厚接触を避け、トリが弱ったときや排菌が疑われる場合には、獣医の診察を受けたり、テトラサイクリン入りの餌を1週間程度与えたりする。
感染症法における取り扱い(2012年7月更新)
全数報告対象(4類感染症)であり、診断した医師は直ちに最寄りの保健所に届け出なければならない。
届出基準はこちら(外部サイトにリンクします)
(国立感染症研究所ウイルス第一部 岸本寿男)
