レジオネラ症(詳細版)
更新作業中のため、ページの一部に古い情報が含まれる場合があります。
(2014年6月25日改訂)
レジオネラ症(legionellosis)は、レジオネラ・ニューモフィラ(Legionella pneumophila)を代表とするレジオネラ属菌による細菌感染症で、その病型は劇症型の肺炎と一過性のポンティアック熱がある。レジオネラ肺炎は1976年、米国フィラデルフィアにおける在郷軍人集会(Legion)で集団肺炎として発見されたところから、legionnaires' diseaseと命名された。ポンティアック熱は、1968年に起こった米国ミシガン州Pontiacにおける集団感染事例にちなんで命名された。レジオネラ属菌は、もともと土壌や水環境に普通に存在する菌である。しかしながら、快適な生活や水資源の節約のため、エアロゾルを発生させる人工環境(噴水等の水景施設、ビル屋上に立つ冷却塔、ジャグジー、加湿器等)や循環水を利用した風呂が屋内外に多くなっていることなどが感染する機会を増やしているものと考えられる。感染症法の施行以後、検査技術の進歩とあいまって、2013年には1,111例(暫定値)が報告された。病原体に曝露された誰しもが発症するわけではなく、細胞内寄生細菌であるため、細胞性免疫能の低下した場合に肺炎を発症しやすい。
疫学
7月に多く発生し(図1)、しばしば旅行と関連してみられる。人から人への感染はない。レジオネラ肺炎は市中肺炎の約5%を占め、潜伏期は2~10日である。一方、ポンティアック熱は、発病率が95%、潜伏期間が1~2日であるが、集団感染でないと報告にあがりにくい。
図1.レジオネラ症患者発生状況(2008年1月~2012年12月)
1999年4月から始まった感染症法に基づく感染症発生動向調査によると、2008年1月~2012年12月までに31例の無症状病原体保有者を含む4,081例が報告され、中高年の男性に多い(図2)。2003年、2004年にレジオネラ尿中抗原検査が保険適用になり、2005年に日本呼吸器学会のガイドラインで中等症以上の肺炎においてこの尿中抗原検査が肺炎治療のフローチャートに明記されたことにより、届出数の増加が認められた。2000年3月の静岡県の温泉、2000年6月の茨城県の入浴施設、2002年7月の宮崎県の温泉における集団感染事例では、それぞれ23例(2例死亡)、27例(3例死亡)、46例(7例死亡)届けられた。最近も、2009年9~10月の岐阜県のホテル、2011年8~9月の神奈川県のスポーツ施設、2012年11~12月の埼玉県の温泉の各入浴設備で8例、9例、9例(いずれも死亡例なし)が届けられた。しかし、感染源の判明していない散発事例も多い。
ポンティアック熱は、1994年に東京都内で開催された研修会での冷却塔に由来する集団感染事例がある。
図2.レジオネラ症患者の性別年齢分布(2008年1月~2012年12月)
病原体
レジオネラ属菌はヒトに吸引されて感染し、肺胞マクロファージで増殖する。起因菌となるレジオネラ属菌にはレジオネラ・ニューモフィラ血清群1が多い。レジオネラ・レファレンスセンターで収集した臨床分離株316株のうち308株(97.5%)はレジオネラ・ニューモフィラで、血清群1は262株(82.9%)であった(2014年3月末現在)。
レジオネラ属菌は本来土壌などの自然環境中の細菌であるが、冷却塔、給湯系、渦流浴などの人工環境にアメーバを宿主として増殖している。環境からもレジオネラ・ニューモフィラ血清群1がよく分離される。生息環境により遺伝子型が異なり、冷却塔由来のレジオネラ・ニューモフィラの遺伝子型は多様性に乏しい。感染源の特定のための菌株の異同の確認にはパルスフィールドゲル電気泳動が行われるが、sequence-based typingもデジタルデータとして研究室内外で比較が容易なためよく利用される。感染研に菌株が送付されれば、sequence typeおよび遺伝子型グループをお知らせしている。
臨床症状

図3.剖検時肺(小豆状の結節が多数みられる)(名古屋赤十字第二病院(当時)都築 豊徳 氏提供)
レジオネラ肺炎は、臨床症状では他の細菌性肺炎との区別は困難である。全身性倦怠感、頭痛、食欲不振、筋肉痛などの症状に始まり、乾性咳嗽(2~3日後には、膿性~赤褐色の比較的粘稠性に乏しい痰の喀出)、38℃以上の高熱、悪寒、胸痛、呼吸困難が見られるようになる。傾眠、昏睡、幻覚、四肢の振せんなどの中枢神経系の症状や下痢がみられるのも本症の特徴とされる。胸部X線所見では肺胞性陰影であり、その進行は速い。重症化の予測因子としてKL-6の測定、日本呼吸器学会の市中肺炎ガイドラインの重症分類(A-DROPシステム)やPORT分類が利用できる。1999年6月に発症した新生児レジオネラ肺炎の場合、生後8日目に死亡し、剖検時には肺に小豆状の結節が多数みられた(図3)。
ポンティアック熱は、突然の発熱、悪寒、筋肉痛で始まるが、一過性で治癒する。
病原診断
レジオネラ・ニューモフィラ血清群1の尿中抗原の市販キットによる検出は、特異性が高く簡便迅速なためよく普及している。また、2011年に保険適用となったLAMP法のように、喀痰中の菌の遺伝子を検出する迅速診断は、レジオネラ・ニューモフィラ血清群1以外のレジオネラ属菌も検出できるので、尿中抗原陰性の場合の診断を含め、非常に有効である。
菌の分離にはレジオネラ専用の培地(BCYE、あるいはそれに抗菌薬を含んだもの)を用いる必要がある。診断のみならず、感染源の調査に患者から菌を分離することが重要である。レジオネラ属菌の寒天培地における増殖は遅く1週間程度かかると言われてきたが、実体顕微鏡を用いたコロニーの観察(斜光法)により、モザイクあるいはカットグラス様の外観から、レジオネラ属菌を早期に効率よく拾うことができる(図5、森本洋、2010,環境感染誌、25:8-14)。このような外観の菌は、システイン不含BCYE寒天培地(あるいは血液寒天培地、普通寒天培地)で増殖しないことからレジオネラ属菌としてほぼ鑑別できる。確定するには、コロニーから作製した菌液を試料として、PCRやLAMP法によるレジオネラ特異的な遺伝子の確認、市販されている免疫血清やLatexによる凝集、レジオネラ属菌を検出するイムノクロマト法による検査を行う。市販のマイクロプレートDNA-DNAハイブリダイゼーションキットによっても確定できる。 肺炎の剖検例で組織を凍結保存しておけば、後程そこからレジオネラ属菌を分離するのも可能である。環境から分離された菌との同一性が問題になるので、環境水やそこからの分離株も、患者由来の菌種が確定するまでは保存しておくことが必要である。
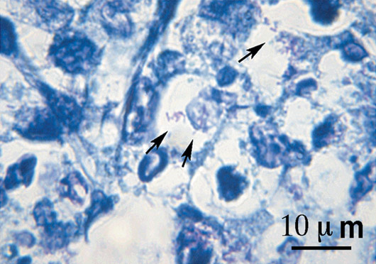
検体中の菌はグラム染色では染まらないので、ヒメネス染色やアクリジンオレンジ染色を行う。図4は、新生児の剖検肺のパラフィン切片標本から、ヒメネス染色で菌体を検出できた例である。レジオネラ属菌に対する特異抗血清が市販され、間接蛍光抗体法で菌が検出できる。
血清抗体価の測定は、早期の診断には向いていないが、尿中抗原陰性事例やポンティアック熱の診断に有効である。抗体価測定のためのマイクロプレート凝集反応用の菌抗原が市販されている。
図4.肺切片のヒメネス染色像(→の先に菌がみられる)
図5.レジオネラ・ニューモフィラのコロニー外観(北海道立衛生研究所 森本 洋 氏提供)
治療・予防
レジオネラ属菌は細胞内寄生細菌であるので、宿主細胞に浸透するニューキノロン、マクロライドなどの抗菌薬を使用する必要がある。静注用のニューキノロン系薬が第一選択剤である。有効な抗菌薬の投与がなされない場合は、7日以内に死亡することが多い。
循環式モデル浴槽におけるレジオネラ属菌の増殖をみると、一般細菌や従属栄養細菌の増殖の後に、それを補食するアメーバが増え、最後にアメーバの中で増えるレジオネラ属菌が増殖する。したがって、換水や洗浄により環境を清浄に保てばレジオネラ属菌は増殖しない。浴槽水の清浄度や、浴槽壁にレジオネラ属菌が生息するバイオフィルムの程度を現場で検査するには、ATPの測定が有効である。測定値を一定以下にすることによりレジオネラの汚染率を低く保つことができる。同様にレジオネラ属菌の増殖する20~45℃を外して低温あるいは高温にして温度管理すればレジオネラ汚染を抑制できる。60℃以上ではレジオネラ属菌は殺菌される。
温度管理の他にエアロゾルの発生を抑制することも予防に重要である。エアロゾルの発生する可能性のある温水は、次亜塩素酸などの適切な殺菌剤による処理をおこない換水するなどの留意が必要である。エアロゾルの発生する高圧洗浄、粉塵の発生する腐葉土の取り扱いなどにはマスクを着用して感染を予防する。最近、エアロゾルの発生する道路の水溜まりからの感染が疑われている。
細胞性免疫機能が低下したヒトでは肺炎を起こす危険性が通常より高いので、特に留意する必要がある。高齢者や新生児のみならず、大酒家、重喫煙者、透析患者、悪性疾患・糖尿病・AIDS患者はハイリスク・グループである。
感染症法における取り扱い(2012年7月更新)
全数報告対象(4類感染症)であり、診断した医師は直ちに最寄りの保健所に届け出なければならない。
届出基準はこちら(外部サイトにリンクします)
(国立感染症研究所細菌第一部レジオネラ・レファレンスセンター 倉 文明、前川純子)
関連情報
IASR関連記事
- 冷却塔からの曝露が示唆されたレジオネラ症集積事例を経験して(第1報) ~疫学調査と施設対応について~
- 循環式気泡浴槽を感染源としたレジオネラ症発生事例における菌株解析―神戸市
- レジオネラ肺炎の臨床的特徴
- レジオネラ対策に関連した通知等について ~近年の動向~
- レジオネラ・レファレンスセンターの活動
- レジオネラ外部精度管理の現状
- マルチプレックスPCRによるLegionella pneumophila血清型別法について
- オランダにおける廃水処理施設が感染源と特定されたレジオネラ症の集団発生事例
- Legionella pneumophilaの分子疫学解析
- 浴槽水のモノクロラミン消毒, 2024年時点
- 環境水における遺伝子検査の活用について
- 尿中抗原検査により診断し得たLegionella longbeachaeによるレジオネラ肺炎の1例
- 冷却塔からの曝露が示唆されたレジオネラ症集積事例を経験して(第2報) ~検査対応および分子疫学的解析について~
- 病院の冷却塔に起因したレジオネラ症集団感染事例について
- IASR 45(7), 2024【特集】レジオネラ症 2013~2023年
- ダイレクトsequence-based typing法により感染源を追究した自宅浴槽でのLegionella pneumophila感染事例―山形県
- IASR Vol.45, No.7 (No.533), July 2024 レジオネラ症 2013~2023年
記事を表示する
